Dental Implants, Durham
Welcome to Castle View Dental Surgery, your trusted implant dentist in Durham. We specialise in dental implants Durham to restore missing teeth, improve chewing function and enhance confidence.
About the Treatment
Missing teeth are a common problem that can lead to shifting teeth, bone loss, difficulty eating, and a smile you don’t feel proud of. For many patients, removable dentures or fixed bridges are temporary solutions—but they do not always prevent jawbone resorption or feel fully natural. There comes a point when dental implants become the ideal long-term solution.
A dental implant is a titanium screw placed into the jawbone, which integrates with the bone (osseointegration) and acts as a strong anchor for a replacement crown, bridge or denture. The result looks and functions much like a natural tooth. At Castle View Dental Surgery, we provide full treatment planning, surgical placement, and restoration using the latest implant systems.
We use terms like “implant dentistry,” “implant placement,” and “implant restoration” often because patients search for “dental implant procedure Durham,” “implant cost Durham,” “implant dentist near me” and similar phrases.
Here’s a simplified explanation of the procedure: after planning and imaging, a small titanium post is placed into your jaw. A healing period follows while the bone bonds to the implant. Once stable, an abutment and final crown or prosthetic tooth are fixed to complete the restoration.
Types of Dental Implant Treatments
Single Tooth Implant
A single missing tooth is replaced by one implant and one crown. Ideal when one tooth is lost and adjacent teeth are healthy.
Multiple Implants / Implant Bridge
If two or more adjacent teeth are missing, we can place two implants and connect crowns as a bridge to fill the gap.
All-on-4 / Full-Arch Implant Treatment
For patients missing many or all teeth in an arch, we offer full-arch implant solutions (often 4–6 implants per jaw) supporting a fixed denture or bridge.
Immediate Implant Placement
In suitable cases, an implant can be placed the same day as an extraction. This reduces overall treatment time but requires careful case selection.
Advantages
Natural function: Implants restore biting strength and feel like real teeth.
Bone preservation: They stimulate bone and prevent further jawbone shrinkage.
Durability: With proper care, implants often last decades.
Aesthetics: The crown looks natural and blends seamlessly with your teeth.
No damage to adjacent teeth: Unlike bridges, implants don’t rely on neighbouring teeth for support.
Improved confidence and comfort: No slipping or discomfort like with removable dentures.
Disadvantages
Surgical procedure: Placement requires surgery and healing time.
Bone requirements: Adequate bone volume and density are needed—some patients may need bone grafts first.
Time and cost: The full process can take several months and is more costly than simpler restorations.
Medical factors: Smoking, uncontrolled diabetes, or gum disease can reduce success.
Not always instantaneous: Some cases require staged healing.
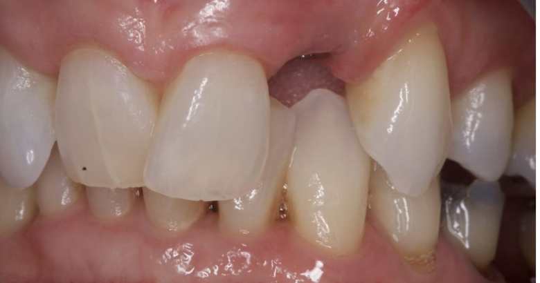
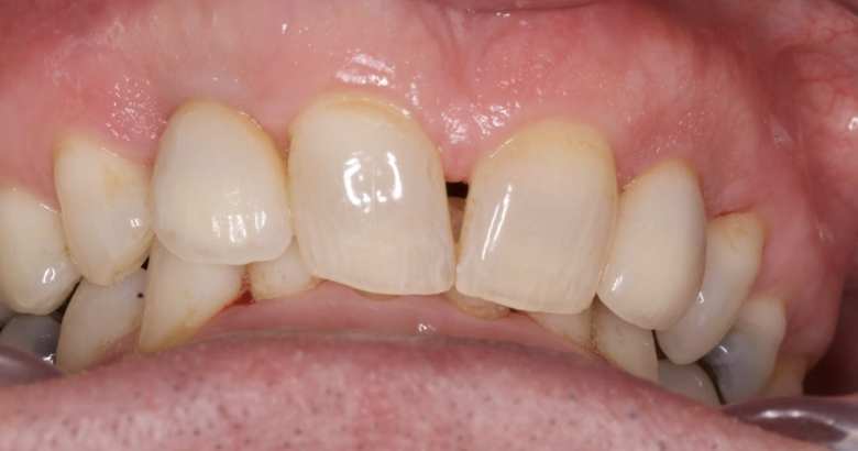
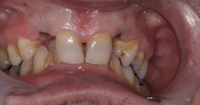
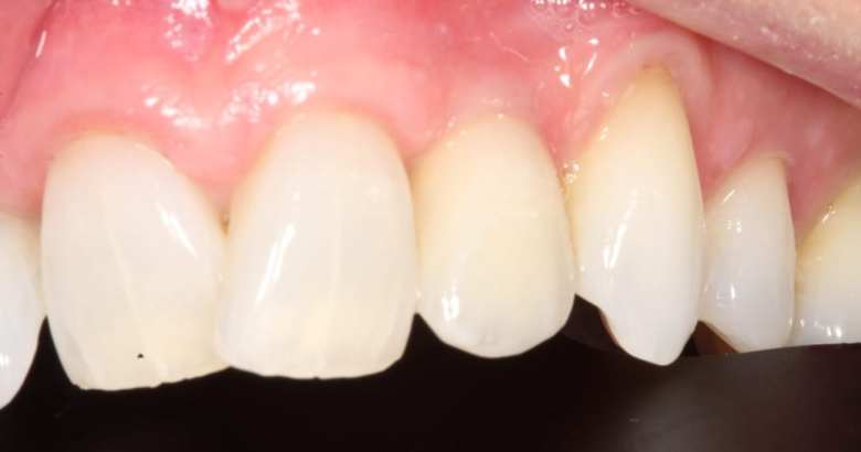
Before & After Results
See the remarkable transformations our patients have achieved with expert dental care at Castle View Dental Surgery. Every smile tells a story of restored confidence and lasting results.


